Лечение Зубов
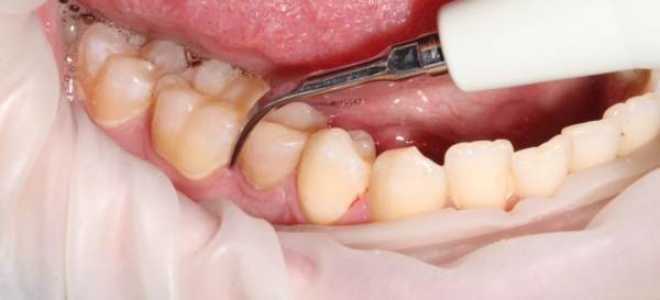
Снятие зубных отложений ультразвуком
Снятие зубных отложений ультразвуком Как происходит снятие зубного камня ультразвуком Удаление камней ультразвуком – одна из самых безопасных процедур. Единственная...
Сколько заживает лунка после удаления зуба мудрости
Сколько заживает лунка после удаления зуба мудрости Узнаем, сколько заживает лунка после удаления зуба мудрости Процесс лечения и удаления зубов...
Как полоскать рот после удаления зуба
Как полоскать рот после удаления зуба Чем и как полоскать рот после удаления зуба для быстрого заживления лунки После удаления...
О чем говорит белый налет на языке у взрослого
О чем говорит белый налет на языке у взрослого Белый, бело-желтый налет на языке у взрослых. Причины, лечение, как устранять...
Брекеты для взрослых
Брекеты для взрослых Какие брекеты лучше ставить взрослому Многие люди, у которых существует проблема с прикусом, долго не решаются идти...
Adblock
detector
Для любых предложений по сайту: stomatologia40@cp9.ru