Лечение Зубов
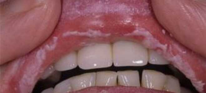
Грибы во рту лечение
Грибы во рту лечение Грибок во рту у взрослого Микоз полости рта вызывают грибки Candida. Эти дрожжеподобные микроорганизмы живут и...
Что такое галитоз
Что такое галитоз Что такое галитоз, признаки и способы лечения препаратами и народными средствами Общаться с окружающими людьми становится сложно,...
Металлический привкус во рту
Металлический привкус во рту Почему во рту возникает металлический привкус и как с ним бороться Привкус металла может появиться из-за...
Отек щеки после удаления зуба
Отек щеки после удаления зуба Отек щеки после удаления зуба: почему появляется, сколько держится, как снять в домашних условиях Если...
Привкус крови во рту
Привкус крови во рту Привкус крови во рту: причины Жалобы на появление привкуса крови в ротовой полости встречаются в медицинской...
Adblock
detector
Для любых предложений по сайту: stomatologia40@cp9.ru