Лечение Зубов
Художественная реставрация зубов
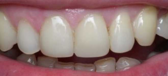
Художественная реставрация зубов Художественная реставрация зубов Процесс реставрации зубов – это восстановление формы и функционирования разрушенных зубов. Вернуть зубу его...
Исправление кривых зубов
Исправление кривых зубов Что делать с кривыми зубами у взрослых, можно ли исправить дефект без брекетов: способы выравнивания Все больше...
Лечение кандидозного стоматита у взрослых
Лечение кандидозного стоматита у взрослых Симптомы и способы лечения кандидозного стоматита у взрослых Каждый из нас знает, что нужно следить...
Периодонтит симптомы и лечение
Периодонтит симптомы и лечение Периодонтит Общие сведения Периодонтит — это болезнь, для которой характерно распространение воспалительного процесса с десны на...
Но шпа от зубной боли при беременности
Но шпа от зубной боли при беременности Все о здоровье зубов и десен Все о здоровье зубов и десен Помогает...
Adblock
detector
Для любых предложений по сайту: stomatologia40@cp9.ru