Лечение Зубов
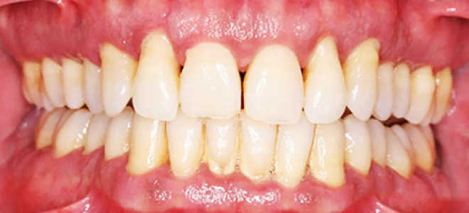
Причины возникновения пародонтоза
Причины возникновения пародонтоза Пародонтоз: причины, симптомы, методы лечения Пародонтоз зубов – серьезное заболевание, при котором идет последняя стадия воспаления дёсен....
От чего обильное слюноотделение
От чего обильное слюноотделение Причины повышенного слюноотделения у взрослых Два литра слюны в день: столько вырабатывают здоровые слюнные железы у...
Как полоскать зуб хлоргексидином
Как полоскать зуб хлоргексидином Инструкция по применению раствора Хлоргексидина для полоскания полости рта Действие хлоргексидина имеет антисептический характер широкой направленности,...
Воспаление надкостницы лечение
Воспаление надкостницы лечение Симптомы и лечение воспаления надкостницы зуба Надкостница или периост – это соединительная ткань, обволакивающая кость челюсти. Она...
Как выглядит киста зуба
Как выглядит киста зуба Киста зуба Общие сведения Киста зуба, что это такое? Киста представляет собой патологическое полостное (капсулированное) новообразование,...
Adblock
detector
Для любых предложений по сайту: stomatologia40@cp9.ru