Лечение Зубов
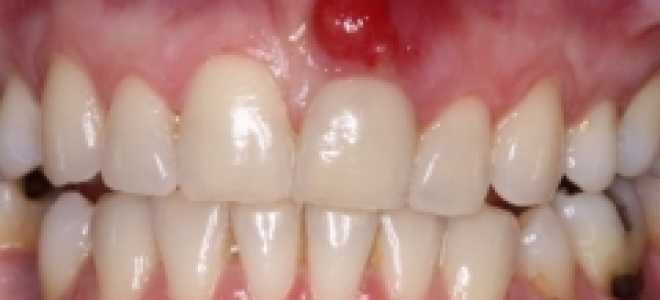
Свищ молочного зуба
Свищ молочного зуба Чем опасен свищ на десне у ребенка? Возникновение такой ситуации у ребёнка является распространённым явлением. В зависимости...
Прорезывание зубов температура
Прорезывание зубов температура Температура при прорезывании зубов у детей Появление первых резцов и моляров – непростое время для ребенка. Младенец...
Что делает зубы белее
Что делает зубы белее Как сделать зубы белыми в домашних условиях и в клинике, как сохранить белизну зубов Красивая улыбка...
Как избавиться от зубной боли быстро в домашних условиях
Как избавиться от зубной боли быстро в домашних условиях Как избавиться от зубной боли в домашних условиях Зубная боль часто...
Сколько длится заморозка зуба
Сколько длится заморозка зуба Сколько отходит заморозка после удаления и лечения зуба? Болезненные ощущения при стоматологическом лечении остались далеко в...
Adblock
detector
Для любых предложений по сайту: stomatologia40@cp9.ru